V.1.- ENFERMEDADES por PRIONES: Características
Comunes a Nivel Histológico
A. Introducción
La mayoría de las personas afectadas por
ESET presentan demencia progresiva, pero algunas manifiestan ataxia
cerebelar. Aunque a simple vista los cerebros de los pacientes tienen una
apariencia normal, un examen post-mortem al microscopio suele revelar
degeneración espongiforme y gliosis astrocítica.
|
En humanos, la neuropatología de las enfermedades por priones se
caracteriza por 4 rasgos principales:
- Espongiosis
- Pérdida neuronal
- Astrogliosis
- Placas amiloides de PrP
Estas características son
compartidas por las enfermedades por priones en animales, y
constituyen la base del diagnóstico histológico, a pesar de su gran
variabilidad de un caso a otro y dentro del SNC de los casos
individuales. En todos los casos, la progresiva degeneración del SN
conduce inevitablemente a la muerte. Durante la evolución de la
enfermedad, son frecuentes la pérdida gradual de control muscular,
la atrofia, la demencia y la parálisis.
| Al contrario que en el caso de
infecciones víricas o bacterianas, los individuos afectados por priones
carecen de toda manifestación inflamatoria o fiebre, lo cual es indicativo
de que el sistema inmunológico no se activa frente a la presencia de
PrPres.
B. EspongiosisLa espongiosis es una anormalidad
histológica consiste en la aparición de pequeñas vacuolas en el citoplasma
de las células. El diámetro de estas vacuolas varia entre las 20 y 200
micras. Las vacuolas se forman en cada capa de la corteza cerebral y
,además, pueden agregarse para dar lugar a grandes vacuolas que
distorsionan substancialmente la arquitectura citológica.
|
Las vacuolas también pueden surgir en el citoplasma de neuronas
de la corteza. La espongiosis cortical suele ir acompañada por
procesos análogos en el ganglio basal, el tálamo y la corteza del
cerebelo. |
Espongiosis a nivel cortical.
http://www.cjd.ed.ac.uk/cortspon.gif |
|
|
En el cerebelo, la agregación de las vacuolas es poco frecuente.
En este caso, su tamaño suele oscilar entre 20 y 50 micras. |
Espongiosis a nivel del
cerebelo. http://www.cjd.ed.ac.uk/cerespon.gif |
| Aunque la degeneración del SN con aparición
de vacuolas neuronales es el rasgo principal de las enfermedades por
priones, es crucial poner de manifiesto que la espongiosis también se
produce como consecuencia de otros desordenes neurológicos. Por ejemplo,
las vacuolas neuronales son comunes en pacientes afligidos por la
Enfermedad de Picks o el Alzheimer, ninguna de las cuales se atribuye a
los priones.
C. Astrogliosis
|
Hipertrofia y proliferación de la astroglia. Las lesiones
neuropatológicas de FFI
incluyen astrogliosis, principalmente a nivel de las regiones
ventral anterior y dorsal media del tálamo. |
Astrogliosis en corteza cerebral de individuo con
CJD. http://www.cjd.ed.ac.uk/gfap.gif |
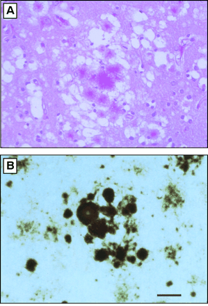
D. Placas AmiloidesLa identificación de PrP en las
fracciones del agente infeccioso de scrapie, se produjo junto con el
hallazgo de unas estructuras en forma de bastón. La ultraestructura de los
bastoncillos era indistinguible de otros amiloides purificados, con los
cuales comparte sus propiedades de tinción. Seguidamente se comprobó que
las placas amiloides estan compuestas de PrP. Mediante proteolisis
parcial, la PrPsc se desintegra y los fragmentos se agregan dando lugar a
las placas amiloides.
Las placas amiloides se han observado como estructuras con afinidad por
la eosina, presentes sobretodo a nivel del cerebelo. Además de en el
cerebelo, en casos minoritarios, las placas pueden formarse en el tálamo,
el ganglio basal y la corteza cerebral.
En pacientes con kuru las
placas suelen mostrar un margen de fibras radiales. Estructuras similares
se han observado en casos de CJD
esporádico y familiar.
 |
Estudios de la ultraestructura han demostrado que las células
microgliales están íntimamente relacionadas con la formación de las
placas, y que quizás desempeñen algun papel en el procesamiento de
PrP hasta su estructura amiloide. |
Placas amiloides en
cerebelo. http://www.cjd.ed.ac.uk/heplaq.gif | |