FOTOS Y TEXTOS ANDROCEO Anteras Dehiscencia Polen

 

 

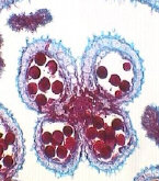
Anteras

Las anteras son basifijas, en la inserción se encuentran abundantes pelos. 

Son ditecas, introrsas y erectas, aunque se las puede inclinar totalmente hacia adentro.

Foto MO

 

Botánica Morfológica: www.biologia.edu.ar/botanica
Morfología de Plantas Vasculares - Facultad de Ciencias Agrarias, Sgto. Cabral 2131
2001- 2012 © Todos los derechos reservados 
Universidad Nacional del Nordeste
, Corrientes, Argentina
WEBMASTER: Dra. Ana Maria Gonzalez, CONSULTAS: Prof. Ma. Mercedes Arbo